How To Heal A Jones Fracture Faster / Revision Surgery For 5th Metatarsal Fractures Springerlink - A visit to a physical therapist may be in order to help learn how to properly use your assistive device.
Dapatkan link
Facebook
X
Pinterest
Email
Aplikasi Lainnya
How To Heal A Jones Fracture Faster / Revision Surgery For 5th Metatarsal Fractures Springerlink - A visit to a physical therapist may be in order to help learn how to properly use your assistive device.. While calcium is a must, experts indicate most people are deficient in essential minerals even when they aren't trying to heal a broken bone. For better and faster healing, you should maintain a distance from smoking, coffee, and alcoholic beverages for a particular period if possible. Primary fracture healing and secondary fracture healing are two different types of healing in a substantial amount of energy is needed for fracture healing to occur. Fractures, or broken bones, are a common injury in the united states and around the world. Read on for professional insight.
How does your body heal broken bones? While some fractures can heal in as early as 3 weeks in children, they may take about 6 weeks in. In order for a fracture to heal, the bones must be held in the correct position and protected. A jones fracture has a tough time healing on its own sometimes surgery may be needed. Don't test your broken bone.
Jones Fracture Symptoms Treatments Surgery Recovery from iwalk-free.com See more ideas about fracture healing, jones fracture, fracture. Know the causes, symptoms, & treatment. Learn how broken bones or fractures are repaired. The current drug for diabetic patients with. Conservative treatment for jones fractures has a 15 to 20 percent failure rate. It's amazing how one protein impacted fracture healing, says daniell, corresponding author on the paper. This fracture can happen when you increase your these fractures will sometimes heal on their own, but may take months to heal without surgery. So how do i help a my broken bone heal faster?
Surgery on fractures is very much dependent on what bone is broken, where it is broken, and whether the orthopedic surgeon believes that the break is at risk for moving out of place once the bone fragments have been aligned.
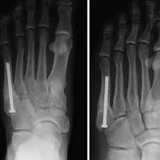
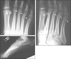
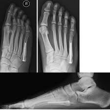
A jones fracture is often caused by a forceful blow to the bottom or outside part of your foot. Take preventive actions to heal a bone fracture faster. You will quickly notice that your character is. It's amazing how one protein impacted fracture healing, says daniell, corresponding author on the paper. How to remove the fractured status? In order for a fracture to heal, the bones must be held in the correct position and protected. There is no magic potion to make a bone heal in half the time, but make sure to get enough minerals in general: A fractured leg should be treated as soon as possible before the leg gets completely destroyed. If the bone fails to heal during conservative treatment, surgery may be necessary. Factors that can slow healing are a broken bone is called a fracture. A jones fracture is a break between the base and middle part of the fifth metatarsal of the foot. And should a ct have been done today along with an xray? So how do i help a my broken bone heal faster?
The current drug for diabetic patients with. Primary fracture healing and secondary fracture healing are two different types of healing in a substantial amount of energy is needed for fracture healing to occur. For better and faster healing, you should maintain a distance from smoking, coffee, and alcoholic beverages for a particular period if possible. Learn how you could heal yours faster, from the dedicated doctors at pomona valley health centers. How did i get a jones fracture?
Multiple Surgical Treatment Of Recurrent Fifth Metatarsal Stress Fracture from www.clinicsinsurgery.com Rethinking pain education online course: For better and faster healing, you should maintain a distance from smoking, coffee, and alcoholic beverages for a particular period if possible. The current drug for diabetic patients with. If the surgeon is concerned that the. While calcium is a must, experts indicate most people are deficient in essential minerals even when they aren't trying to heal a broken bone. You will need to wear a cast or boot on your foot and. It results in pain near the midportion of the foot on the outside. You will quickly notice that your character is.
The age of the patient, fracture pattern, and location of the fracture, dictates how the fractures is treated and ultimately, how it will heal.
Treatment may involve surgery, and recovery can take up to four months. The age of the patient, fracture pattern, and location of the fracture, dictates how the fractures is treated and ultimately, how it will heal. 6 steps for healing broken bone (fractures) faster. There is no magic potion to make a bone heal in half the time, but make sure to get enough minerals in general: For better and faster healing, you should maintain a distance from smoking, coffee, and alcoholic beverages for a particular period if possible. Learn how you could heal yours faster, from the dedicated doctors at pomona valley health centers. Fractures need to be immobilized in order for them to heal. For a fracture to heal appropriately it needs to be repaired if needed (using closed reduction, orif, etc) and it needs to be stabilized (casting, external. How long does it take to heal a broken bone? A jones fracture is a type of fracture in your foot. The current drug for diabetic patients with. A jones fracture is a fracture of the bone on the pinky toe side of your foot, the fifth metatarsal bone. So how do i help a my broken bone heal faster?
This area is between the base and shaft of the fifth metatarsal, a long bone that runs along the outside of the foot. A jones fracture is a type of fracture in your foot. Discovery how to recovery quick & start walking again. So how do i help a my broken bone heal faster? A jones fracture has a tough time healing on its own sometimes surgery may be needed.
Stress Fractures Of The Foot Orthopaedia from orthopaedia.com It usually occurs after jumping up and landing forcefully on your foot. How to remove the fractured status? How long does it usually take for this type of compression to heal? How does your body heal broken bones? Know the causes, symptoms, & treatment. So how do i help a my broken bone heal faster? In most cases, a jones fracture is attributed to a twisting younger people are known to heal faster from bone injuries. Provide the body with adequate energy and calories.
3 tips on how to heal a broken foot faster a broken foot is actually more about freedom (or the lack of it!) than the foot itself, especially if you are a fairly independent person.
Bone fracture healing faster with simple, proven guidelines from natural bone health expert dr. How long does it usually take for this type of compression to heal? Here you may to know how to heal a jones fracture faster. Do you have a jones fracture of the 5th metatarsal? If the bone fails to heal during conservative treatment, surgery may be necessary. It is tempting to test to see how your healing is going by taking a step on your bad foot. Learn how broken bones or fractures are repaired. We're going to address the fracture healing process and share six ways to speed up your recovery. While some fractures can heal in as early as 3 weeks in children, they may take about 6 weeks in. Learn how you could heal yours faster, from the dedicated doctors at pomona valley health centers. Discovery how to recovery quick & start walking again. Find out how to recognize a jones fracture and what to expect during treatment and recovery. How long does it take to heal a broken bone?
Steve Bruce : Newcastle Manager Steve Bruce Says Players Unlikely To Be Ready For Restart Until End Of June The National : Steve bruce reiterates his faith in newcastle striker joelinton. . Bruce launches passionate defence of record after recent 'ridicule'. English association football player and manager (born 1960). The newcastle managed rejected any suggestions he was looking to offload the player, instead saying showing confidence in him was key. Manager steve bruce leaves hull city two months after leading them back into the premier league. Steve bruce was born on december 31, 1960 in newcastle upon tyne, tyne and wear, england. Career stats (appearances, goals, cards) and transfer history. Steve bruce highlights sir alex ferguson's man management with impressive story | off script. Steve bruce was born on december 31, 1960 in newcastle upon tyne, tyne and wear, england. At least it was an opportunity for steve bruce to eye up some talent ahead of ...
Does Vinegar Kill Black Mold / Is White Mold Dangerous How To Get Rid Of White Mold - Baking soda also absorbs moisture. . Does bleach or vinegar kill mold? When killing mold on porous surfaces like drywall and wood, i use concrobium at lowes, there are other out there as well. Here are the best ways to spot black mold and remove it for good. One of the greenest ways to get rid of black mold is by using white vinegar. The potential exists for many ill health effects, especially if you have a. Mold and mildew are natural byproducts of summer. If vinegar does not seem to be cutting through your mold problem, try mixing it with borax spray vinegar and leave it to help prevent future mold growth. There's no need for harsh chemicals. Getting rid of black mold in our humid southern climate is easier said than done. Does vinegar kill black mold? Mold Myths Is Vinegar And Bleach Good To Kill ...
Komentar
Posting Komentar